CAMBIO DE COLOR EN SUSTRATO DESFAVORABLE
CARILLAS INIDECTAS EN DISILICATO DE LITIO MAQUILADAS:CAMBIO DE COLOR CON SUSTRATO DESFAVORABLE
AUTORES:
Dr. Emilio José Ruiz de la Cruz (DDS) y TPD. Miguel Arroyo
Dr. Emilio José Ruiz de la Cruz: Máster en Rehabilitación oral de alta complejidad, nuevas tecnologías y estética dental, Especialista en Estética Dental, rehabilitación y conservadora. Miembro SEPES. Práctica privada (Granda y Madrid).
TDP. Miguel Arroyo: Profesor colaborador en máster de Estética Universidad de Bilbao. Profesor colaborador en Universidad Europea Miguel de Cervantes (UEMC Valladolid). Profesor colaborador Máster de prótesis de la Universidad Complutense de Madrid (UCM). Profesor Máster internacional en estética Dental Avanzada (UEMC).
GÉNERO Y EDAD DEL PACIENTE:
Mujer de 49 años de edad.
QUEJA PRINCIPAL:
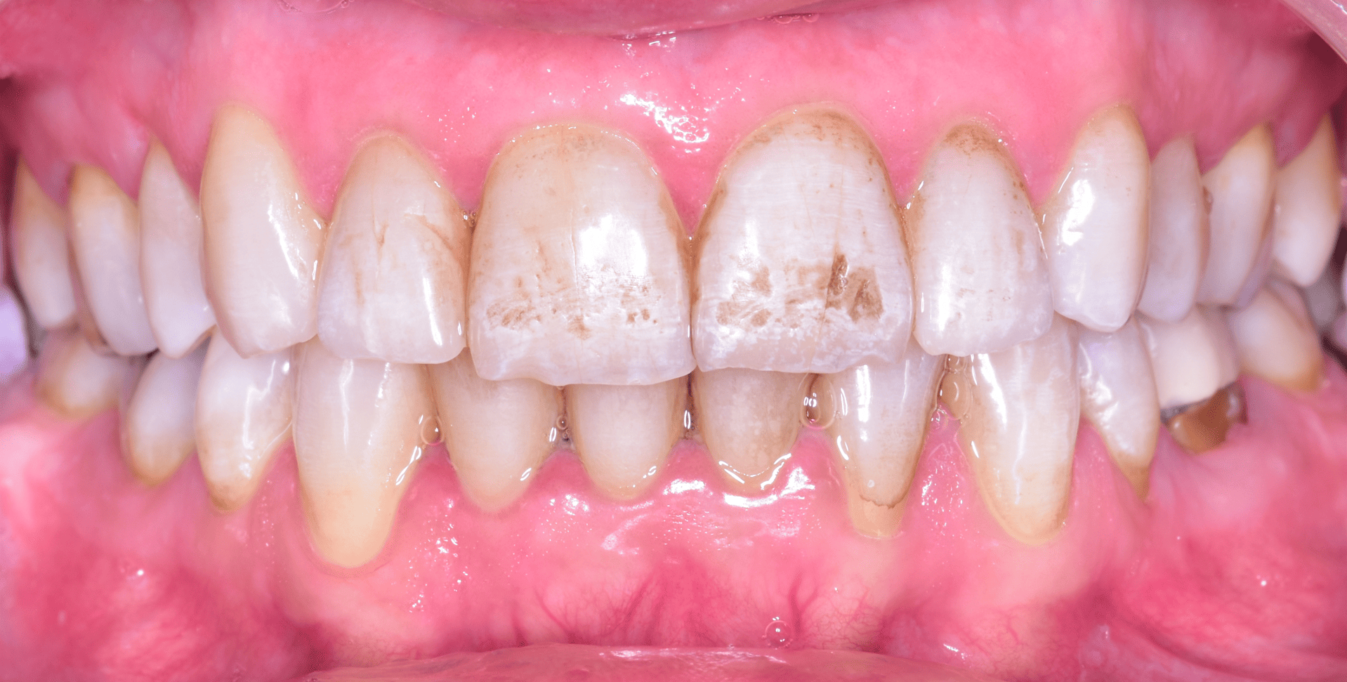
La paciente acude a consulta con una alta demanda estética, ya que lleva toda la vida con las manchas en los dientes, y le cuesta sonreír debido al color de sus dientes.
EVALUACIÓN INICIAL:
En primera visita se le realiza anamnesis detallada, examen clínico oral y test subjetivo del dolor en musculatura de cráneo, cuello y ATM, así como pruebas radiográficas pertinentes. Se aprecia ausencia de click o patología articular y ausencia de patología cariológica.
Presenta tinciones tetraciclínicas combinadas con tinciones químicas externas, mordida estable (se le realizó tratamiento de ortodoncia hace tiempo), con ligero precontacto en lateralidad derecha en pieza 12, desgaste por onicofagía de 11 y 21, y abfracción del 36 previo al tratamiento ortodóntico. A nivel periodontal se aprecia ginivitis generalizada con sondaje inferior a 3mm y recesión Clase II de Miller en 32. Por otro lado, se le recomienda hacer tratamiento con ortodoncia invisible para mejorar algún aspecto de posición dental y así reducir al máximo el tallado a realizar, pero la paciente no acepta.
TRATAMIENTO EJECUTADO:
Se inicia el procedimiento mediante protocolo fotográfico, escaneado y diseño de sonrisa digital con Smilecloud consensuado con la paciente, para poder seleccionar así la morfología que más le guste. (fig.1, 1a, 1b). Durante el procedimiento de fabricación del mock-up, se le realiza profilaxis + técnicas de higiene, para mejorar la gingivitis leve que presenta, principalmente en la arcada inferior. Así como blanqueamiento combinado clínica y casa para intentar mejorar el color del sustrato de cara a la preparación, selección de material y color del cemento a utilizar.
Tras un mes de haber realizar el tratamiento anteriormente descrito, tomamos muestra de color para la planificación del caso. Se han conseguido mejorar algo las tinciones pero no lo suficiente, partiendo de un sustrato aún desfavorable C2.
Prueba de mock-up utilizando llave de silicona y PrimmArt, color B1 (fig.2 y 5). La selección del este producto es por su tixotropía, la cual hace que permanezca estable en la zona de aplicación de la llave de silicona sin que sufra escurrimiento y por lo tanto falte material a la hora de hacer el mock-up. Por otro lado, el color que ofrece es bastante bueno y el brillo final da un resultado óptico muy bueno, ya sea para doctor como paciente. Aunque en este caso en particular, al tener el sustrato desfavorable y siendo el espesor de 0,3 se aprecia alguna tinción.
Tras la aprobación del mock-up por parte de la paciente, procedemos a solicitar al TPD la fabricación de guía de tallado fresadas o con silicona. En este caso por tiempos con la paciente, se tuvo que realizar de manera anlógica.
Se realiza el tallado digital teniendo en consideración el diseño realizado por el software de diseño digital y por el TPD (fig.3).
Una vez realizado el tallado sobre el paciente, se vuelve a escanear a la paciente y comprobamos superponiendo conjuntamente los stl inicial, del diseño del casos el propio tallado, para comprobar que el tallado ha sido correcto, y tener en cuenta el espesor para el cemento disponible. (fig 4) y fabricación de las carillas (fig. 4b)
Se realiza prueba en húmedo de las carillas y prueba con try-in color B1 y Bleach, el resultado de dicha prueba hizo que el paciente se decantase por el B1 ya que ofrecia un valor óptimo a las carillas sin que fuese excesivamente blanco el resultado. (fig. 5)
Cementación de las carillas utilizando siguiente el protocolo de adhesión usando adhesivo Ambar APS y Allcem Veneer APS de FGM, color B1. La selección de dicho color del cemento se eligió en base al material utilizado (emax press) color B1, el espacio para el cemento y por lo tanto su combinación previamente validado con el try-in. (fig.5).
Ajuste y fotos finales del tratamiento (fig.6, 6 A, 6 B).
TESTIMONIO DR. EMILIO RUIZ:
“El descubrimiento de los productos de FGM ha sido todo un acierto. Tras haber realizado una revisióñn bibliográfica de los diferentes materiales para cementación adhesiva de carillas, habiendo obtenido unos resultados óptimos, me decanté por usarlos en este caso clínico. Desde su adhesivo, pasando por la resina primma art (la cual da un efecto más natural en los mock-ups), y tanto el try-in como el cemento allcemm veneer APS (el cual ofrece una tixotropia y manipulación del material óptima, sin dejar de lado la estabilidad de color siendo bajo mi punto de vista una de las mejores sino la mejor del mercado actualmente).
















Deja tu comentario