Mancha blanca en incisivos centrales
AUTOR: Dra. Isabel Giráldez de Luis
Profesora colaboradora en Odontología y en Experto de Estética Universidad Rey Juan Carlos en la actualidad. Lcda. Odontología Universidad Alfonso X El Sabio de Madrid (2002). Dra. en Odontología con Premio Extraordinario por la Universidad Rey Juan Carlos de Madrid (2014). Odontología Estética en la Universidad Rey Juan Carlos de Madrid. Especialista en Salud Bucodental Comunitaria en la Universidad de Sevilla (2015).
GÉNERO Y EDAD DEL PACIENTE:
Paciente masculino, 35 años aproximados
QUEJA PRINCIPAL:
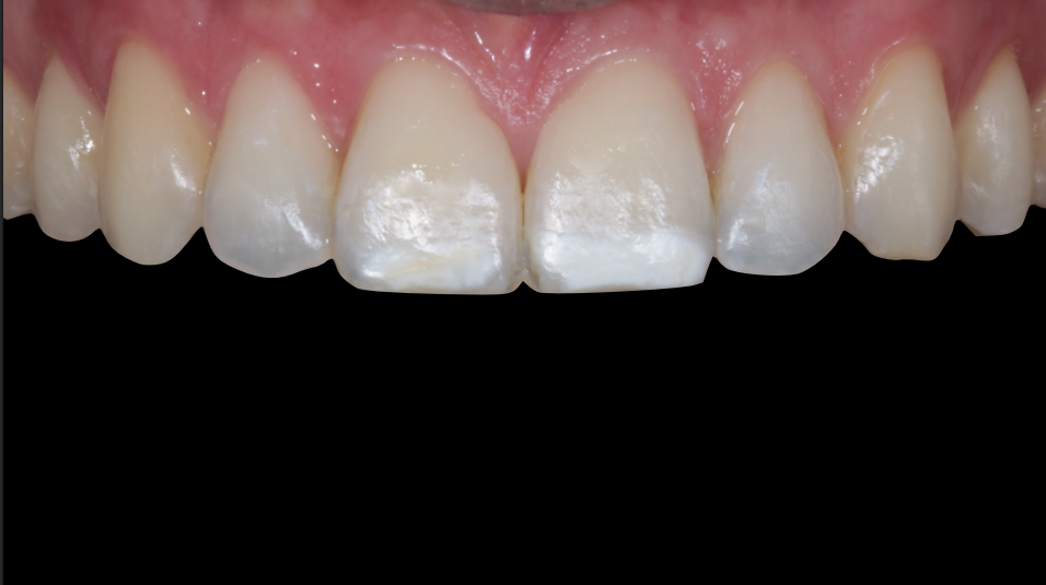
Mancha blanca incisivos centrales
EVALUACIÓN INICIAL Y DIAGNÓSTICO:
- Realizar una evaluación clínica y radiográfica de los dientes afectados.
- Toma de fotografías antes de comenzar el procedimiento para evaluar el cambio estético.
- Tratamiento: Reconstrucción frente estético con composite
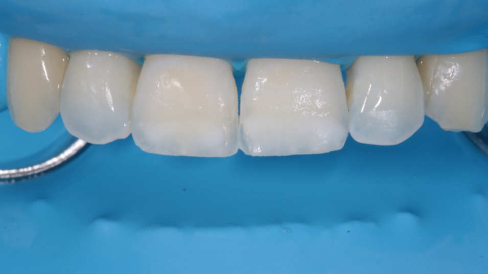
TRATAMIENTO EJECUTADO:
Estado inicial
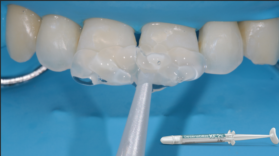
3. Retirar Whiteness RM y Aplicación de desensibilizante
Se aplicó un desensibilizante KF 2% de FGM para reducir la sensibilidad del diente y ayuda a proteger las terminaciones nerviosas y a prevenir molestias postoperatorias.
4. Reconstrucción del diente
Se realizó la reconstrucción del incisivo central utilizando Vittra APS de FGM, un composite estético que permite lograr una apariencia natural y una buena adaptación al diente.
5. Pulido final
Para finalizar, se realizó el pulido con los discos Diamond Pro y la pasta de pulido Diamond Excel ,ambos de FGM, asegurando que la superficie del diente restaurado tuviera un acabado suave y brillante, similar al esmalte natural.
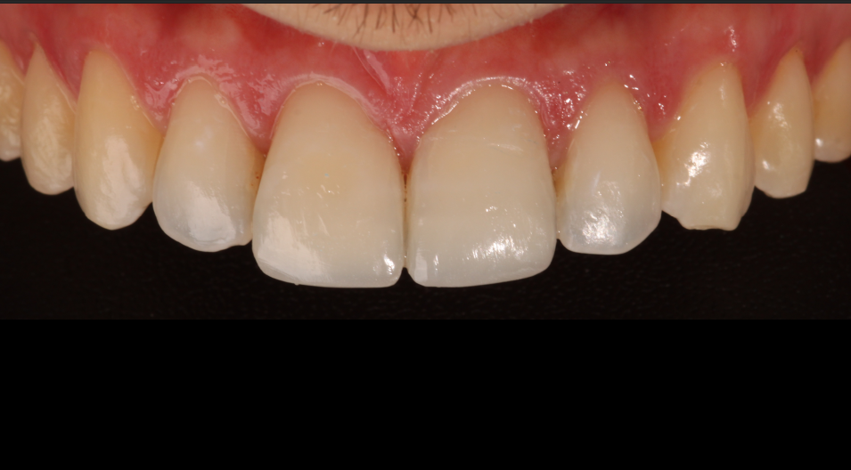
6. Resultado final
Resultado Final
Partida previa












Deja tu comentario