Cierre de diastema en sector anterior con blanqueamiento dental
AUTOR:
Dra. Isabel Giráldez de Luis
Profesora colaboradora en Odontología y en Experto de Estética Universidad Rey Juan Carlos en la actualidad. Lcda. Odontología Universidad Alfonso X El Sabio de Madrid (2002). Dra. en Odontología con Premio Extraordinario por la Universidad Rey Juan Carlos de Madrid (2014). Odontología Estética en la Universidad Rey Juan Carlos de Madrid. Especialista en Salud Bucodental Comunitaria en la Universidad de Sevilla (2015).
GÉNERO Y EDAD DEL PACIENTE:
Paciente joven de género femenina
QUEJA PRINCIPAL:
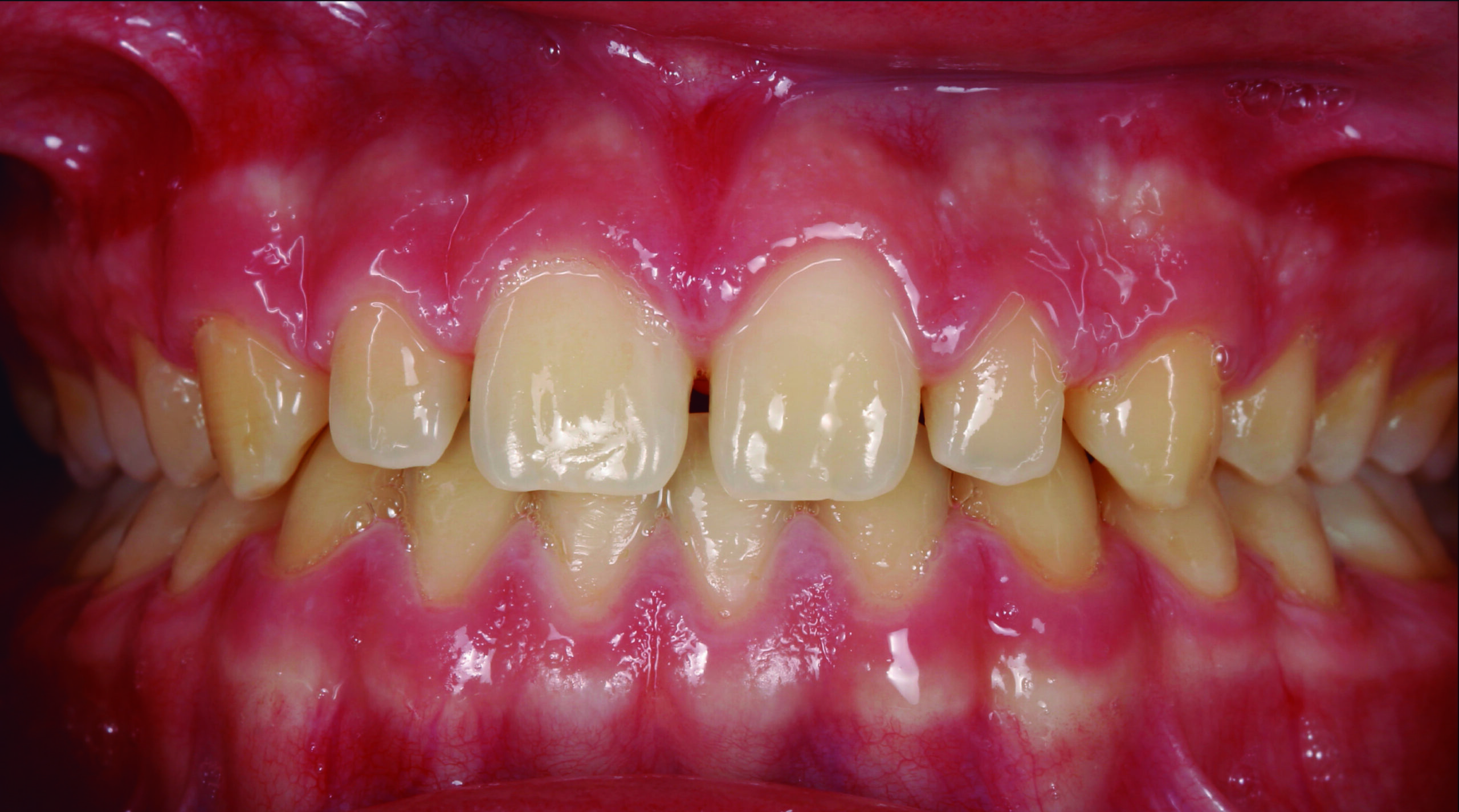
Diastema en sector anterior
EVALUACIÓN INICIAL:
Paciente joven con diastema en sector anterior
TRATAMIENTO EJECUTADO:
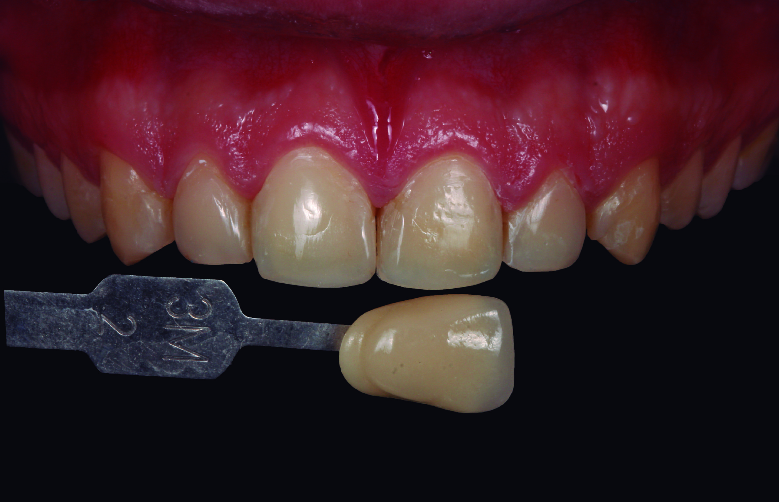
Cierre de diastema con composite Vittra Unique de FGM desde el 12 hasta el 22 con blanqueamiento dental Whiteness Perfect de FGM
PASO A PASO
FIG. 1 – Aspecto inicial
FIG. 2 – Cierre de diastema con composite Vittra Unique de FGM desde el 12 al 22
FIG 3. Realización de blanqueamiento con Whiteness Perfect de FGM donde observamos como el composite Vittra APS Unique de FGM se vuelve a mimetizar con el color del diente tras el blanqueamiento.
											
				
									

	
	
	
	
	
            
Deja tu comentario